Cosmetic Dentist in Glendale, CA 91202

Professional cosmetic dentist Dr. Nova Aghbashian in Glendale, CA 91202, providing smile transformations and aesthetic dental care at Aghbashian Dental.

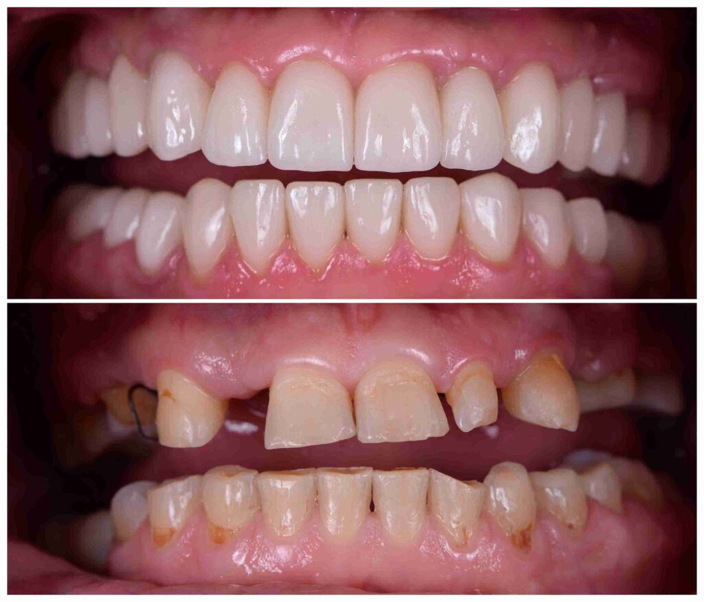
Your smile is often the first thing people notice — make it one you’re proud of. At Aghbashian Dental Office, we specialize in cosmetic dentistry in Glendale, CA 91202 designed to enhance your confidence and give you a natural, radiant smile. Whether you need professional whitening, porcelain veneers, or a complete smile makeover, Dr. Aghbashian uses artistry + advanced dental technology to deliver stunning, lasting results.

Schedule Your Cosmetic Consultation


What Is Cosmetic Dentistry? 

Cosmetic dentistry focuses on improving the appearance of your teeth, gums, and overall smile. At our Glendale dental office, we tailor every treatment to your goals — from subtle enhancements to full transformations.

Cosmetic treatments can help:

  • Whiten and brighten discolored teeth

  • Repair chips, cracks, or uneven edges

  • Close gaps between teeth

  • Reshape your smile for better symmetry

  • Correct minor misalignments without braces

Your dream smile starts with a personalized consultation at Aghbashian Dental.


Popular Cosmetic Treatments We Offer 

Teeth Whitening 

Professional in-office and take-home whitening options to remove stains from coffee, wine, and aging — for a brighter smile in just one visit.

Porcelain Veneers 

Ultra-thin custom shells that cover imperfections such as chips, cracks, and discoloration while preserving your natural teeth.

Dental Bonding 

A quick, non-invasive way to repair minor flaws using tooth-colored resin that blends seamlessly with your enamel.

Smile Makeovers 

Comprehensive treatment plans that combine multiple cosmetic procedures for a customized transformation.

Invisalign® Clear Aligners 

Discreetly straighten your teeth and improve alignment without metal braces — an ideal option for adults looking for subtle correction.


Our Smile Makeover Process 

  1. Consultation & Smile Analysis – Dr. Aghbashian will discuss your goals and perform a comprehensive exam using digital imaging.

  2. Treatment Planning – We present personalized recommendations that fit your budget and timeline.

  3. Cosmetic Treatment Phase – Whether veneers, bonding, or whitening, we focus on comfort and precision.

  4. Final Polish & Maintenance – You’ll leave with a bright, confident smile and guidance to keep it looking beautiful.

We combine artistry with advanced technology to create smiles that look as good as they feel.


Why Patients Choose Us for Cosmetic Dentistry 

  • Experienced Glendale dentist with a keen eye for aesthetics

  • Modern technology for precise and predictable results

  • Affordable pricing and financing options

  • Friendly, judgment-free environment

  • Convenient location serving the 91202 community

Call (818) 873-0918 to book your smile consultation.


Cost & Financing 

We believe everyone deserves a beautiful smile. That’s why we offer affordable cosmetic dentistry in Glendale with flexible payment plans and transparent pricing.

During your consultation, we’ll review options based on your goals — whether it’s a simple whitening treatment or a full veneers case — and help you find a plan that fits your budget.


FAQs 

Q: How long does cosmetic dentistry take?
Minor procedures like whitening can be done in one visit; veneers and smile makeovers usually take 2–3 appointments.

Q: Is cosmetic dentistry painful?
Not at all — most treatments are minimally invasive and performed under gentle local anesthetic when needed.

Q: How long do veneers last?
With proper care, porcelain veneers can last 10–15 years or longer.

Q: Can I finance my cosmetic dental work?
Yes, we offer flexible financing through CareCredit and in-office plans.


Schedule Your Cosmetic Consultation 

If you’re looking for a trusted cosmetic dentist in Glendale, CA 91202, Dr. Aghbashian and his team are ready to help you achieve the smile you’ve always wanted.

📍 Aghbashian Dental Office
100 N Central Ave Ste. 130
Glendale, CA 91202

📞 (818) 873-0938
📧 info@aghbashian.com

Book Your Cosmetic Consultation