Veneers in Glendale, CA 91202

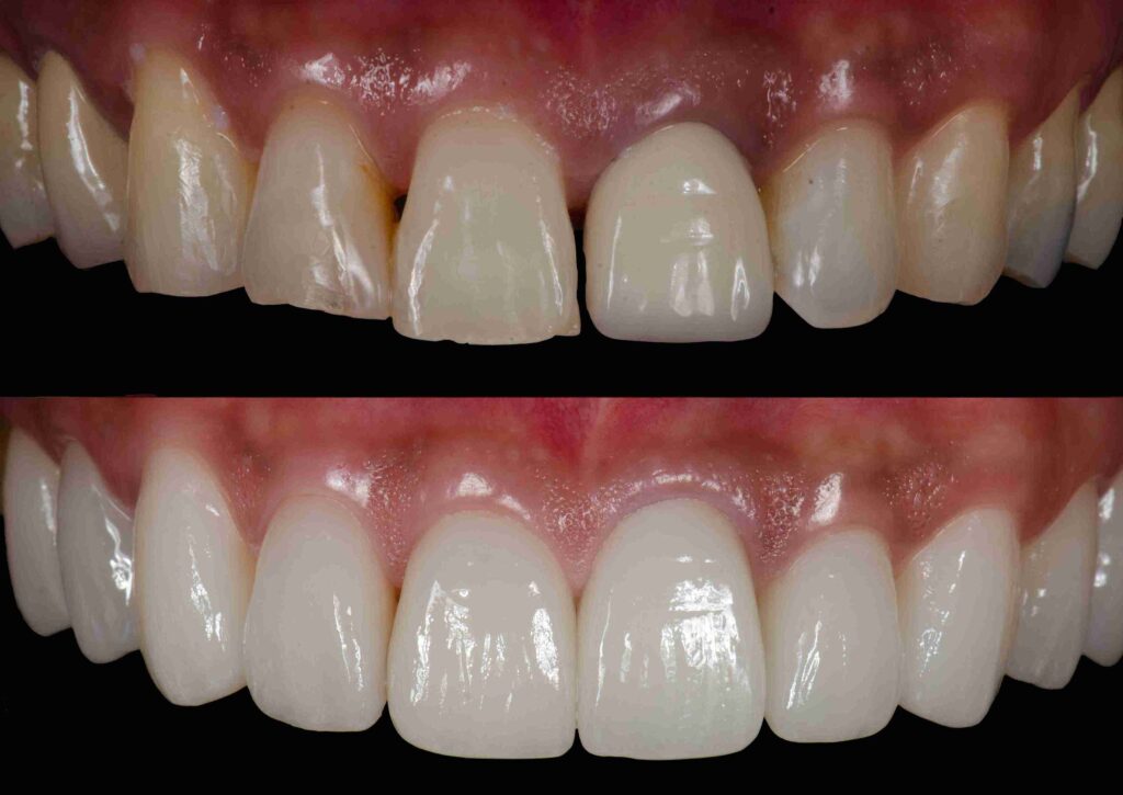
Before and after comparison of a porcelain veneers smile makeover in Glendale, CA at Aghbashian Dental.

If you’re unhappy with the shape, color, spacing, or overall appearance of your teeth, porcelain veneers offer one of the fastest and most beautiful ways to transform your smile. At Aghbashian Dental Office, we provide high-quality veneers in Glendale, CA 91202, designed to give you a brighter, more symmetrical, and confident smile - often in just two visits.

Veneers are thin, translucent porcelain shells that bond to the front surface of your teeth. They look completely natural yet are strong, stain-resistant, and custom-crafted to match your ideal smile.

Call (818) 873-0938 to schedule your veneer consultation today.


What Are Porcelain Veneers?

Veneers are ultra-thin, durable porcelain facings that enhance and correct the appearance of your front teeth. They are ideal for achieving a radiant, uniform smile without extensive dental work.

Veneers can correct:

  • Gaps or spacing

  • Chips or cracks

  • Discoloration or staining

  • Misshapen or uneven teeth

  • Minor alignment issues

  • Worn or aged enamel

When designed with artistry and precision, veneers provide a dramatic transformation that still looks naturally yours.


Why Choose Veneers?

Porcelain veneers offer several advantages, including:

  • Fast results — often completed in two visits

  • Natural appearance — designed to match your ideal shade and shape

  • Long-lasting durability

  • Stain resistance

  • Minimal tooth preparation

  • Customizable for your ideal smile design

They are one of the most trusted cosmetic treatments for achieving a bright, confident smile.


The Veneer Process at Aghbashian Dental

Personalized Consultation

Your dentist evaluates your face shape, bite, enamel health, gum condition, and smile aesthetics.
We discuss your concerns, goals, and desired outcome — ensuring your veneers match your ideal smile.


Tooth Preparation

To make room for your veneers, the front surface of your teeth is lightly buffed. This step is minimal and painless, preserving the maximum amount of natural tooth structure. An impression is then taken so your veneers can be custom-crafted for perfect fit, color, and shape.


Custom Crafting of Your Veneers

Your impressions are sent to a high-quality dental laboratory.
Each veneer is hand-crafted to ensure:

  • Ideal translucency

  • Natural lifelike appearance

  • Precise shape and contour

  • Perfect shade matching


Final Placement

At your final visit:

  • Your teeth are cleaned and prepared

  • Veneers are checked for fit, color, and symmetry

  • They are permanently bonded using advanced adhesive technology

Once bonded, veneers instantly transform your smile with beautiful, long-lasting results.


Why Glendale Patients Choose Aghbashian Dental for Veneers

✔ Customized Smile Design

We design veneers that complement your facial features, lip line, skin tone, and personality to achieve the most natural, flattering result.

✔ Advanced Porcelain Materials

We use modern, high-strength ceramics that mimic natural enamel in translucency and shine.

✔ Fast, Comfortable Process

Treatments are gentle, minimally invasive, and typically completed in two visits.

✔ Experienced Cosmetic Expertise

Dr. Aghbashian’s skill and attention to detail ensure veneers that look natural — not artificial.

✔ Long-Lasting Confidence

With proper care, porcelain veneers can last many years, giving you a smile you’ll be proud to share.


Cost & Financing for Veneers

The cost of veneers depends on:

  • Number of teeth treated

  • Type of porcelain used

  • Level of customization

  • Complexity of your case

We provide:

  • Clear treatment plans

  • Cosmetic consultation before beginning

  • Payment options and financing

  • Guidance based on your goals and budget

Veneers are an investment in confidence, appearance, and long-term aesthetics.


FAQs 

Q: Do veneers hurt?
No. Tooth preparation is minimal and performed with local anesthesia for comfort.

Q: How long do veneers last?
With proper care, porcelain veneers can last 10–15 years or more.

Q: Are veneers stain-resistant?
Yes — porcelain is highly resistant to staining from coffee, tea, wine, and daily habits.

Q: Are veneers reversible?
Because a small amount of enamel is removed, veneers are considered a long-term cosmetic treatment.

Q: Can veneers fix crooked teeth?
Veneers cannot replace orthodontics, but they can correct minor alignment, spacing, or aesthetic issues very effectively.


Schedule Your Veneer Consultation

If you’re ready for a fast, beautiful smile transformation, our experienced team is here to help you achieve your dream smile with custom porcelain veneers in Glendale, CA 91202.

📍 Aghbashian Dental Office
100 N Central Ave Ste. 130
Glendale, CA 91202

📞 (818) 873-0938
📧 info@aghbashian.com

Book Your Veneer Consultation and Start Your Smile Journey Today!!